治療法・術式と症例
椎体形成術
骨粗鬆症のため弱くなった背骨には、軽微な外傷や前屈みになっただけでも圧迫骨折が発生する事があります。圧迫骨折が生じると強い腰や背中の痛みのため、寝返りすら困難になってしまいます。通常は一定期間の安静やコルセット治療を行いますが、背骨の骨折がいつまでたっても治らない場合があります(偽関節)。この偽関節を治すためには、従来比較的大きな侵襲を伴う広い範囲の固定術や脊椎骨切り術が行われていました。高齢である事が多い患者様の身体になるべく負担をかけず、なおかつ早期に動けるようになっていただく事を目的に、当院では皮膚から針を挿入し、特殊な風船を骨折した脊椎の中で膨らせた後、セメントを充填して変形した背骨を矯正しながら骨の中を固定する椎体形成術(BKP: Balloon kyphoplasty)を取り入れています。骨折による不安定性が一瞬にして治まります。ただしこの手術は、すべての圧迫骨折に対して施行できるわけではなく、骨折の急性期やつぶれた脊椎が神経を圧迫している場合には施行できません。また、手術で骨粗鬆症自体が治るわけではないので、手術後も骨粗鬆症の治療をしっかり続けていく必要があります。
BKP治療手術の流れ
![]() |
![]() |
![]() |
![]() |
| 1)背中から針を刺入し骨折した椎体への経路を作成。小さな風船の付いた器具を挿入。 | 2)風船を徐々に膨らませつぶれた骨を持ち上げ骨折前の形に戻す。 | 3)風船を抜いて、その空間に骨セメントを充填する。 | 4)手術は約1時間程度。セメントは手術中に固まる。 |
脊椎内視鏡手術
-
腰椎椎間板ヘルニア(MRI)

-
手術の様子

脊椎内視鏡手術は体に対する負担が少ない(低侵襲)な手術方法であり、早急な社会復帰や復職が望まれる場合、高齢社会において手術や麻酔に伴う体への負担を減らしたい方にとって、特に有用な手術方法となっています。内視鏡画像をアシストとして、より小さい傷で今までの手術と同様に行う方法から、局所麻酔で内視鏡操作のみで行う方法もでてきております。脊椎内視鏡手術は日本では1990年代後半から始まり、2010年には全国で1万件以上行われてきており、その後も社会のニーズに合わせて毎年増加してきています。 当院では腰椎の病変に対して脊椎内視鏡手術を行っております。腰椎椎間板ヘルニア、腰部脊柱管狭窄症、腰椎椎間孔狭窄症、化膿性脊椎炎などを対象としております。 脊椎内視鏡には2種類の方法があります。内視鏡視下腰椎椎間板摘出術(MED:microendoscopic disceotomy)と全内視鏡視下脊椎手術(FESS:full-endoscopic spine surgery)です。 MEDは、従来の手術を、内視鏡を用いることで小さい傷で行っているというイメージになります。全身麻酔で、2センチ程度の傷から外筒をいれて、内視鏡のアシストで、骨を削ったり、椎間板ヘルニアを摘出します。従来の手術とほぼ同等の手術効果が期待できます。 FESSは、日本では2003年ごろから開始された比較的新しい方法です。1センチ程度の傷から内視鏡を挿入して、骨を削ったり、椎間板ヘルニアを摘出します。全身麻酔ではなく、局所麻酔でも可能な方法であること、手術器具内に水を還流して行うので術後の組織の癒着が生じにくいなどの利点もあります いずれの方法も、傷は従来の手術よりも小さく、術後の体への負担も少なくなります。入院期間はリハビリテーションを含めてMEDでは2週間程度、FESSでは1週間程度となる場合が多いです。退院後、事務作業はすぐに復帰可能であり、重労働も術後4から6週後には開始可能となることが多いです。 脊椎内視鏡手術は有用な術式ですが、内視鏡の設置が必要であること、限られたスペース、手術器具で行うことから従来の手術よりも時間を要することもあります。また、出血が多い場合や、神経の癒着が強い場合などは安全のために従来の手術方法に手術中に変更することもあります。 脊椎内視鏡手術は低侵襲で、早期社会復帰が目指せる方法でありますが、内視鏡を用いたピンポイントでの手術になります。そのため術前診察、検査での痛みの原因部位の特定や、内視鏡を用いても手術の可否の判断も重要になります。腰椎疾患でお困りの方は当院受診していただいて、一緒に相談して治療していきましょう。
![]() |
![]() |
FESS機材(FESS用内視鏡本体、FESS用鉗子)
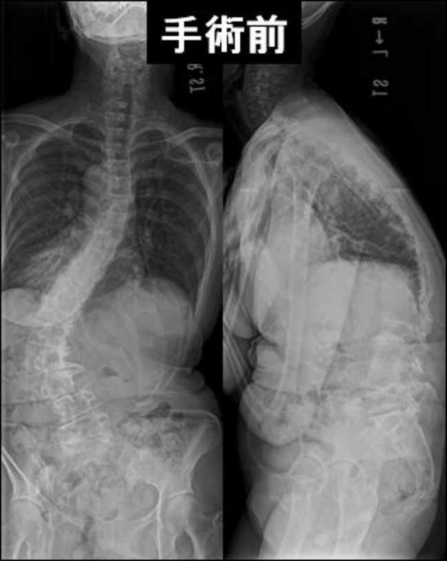
特発性側弯症
未だにその原因は不明ですが、多くの場合思春期に発症・悪化します。 約9割は女の子に発症します。「せぼね」(脊柱)が、ねじれを伴って曲がっています。このため肩の高さやウエストラインの高さに差があらわれ、身体が左右非対称性になってしまいます。お辞儀をしたときの背中や腰の高さにも左右差が出ます。多くは思春期に進行します。40°近くになると服の上からも目立ってきます。
<放置した場合の危険性>
側弯の進行は、通常成長の終了とともに停止しますが、腰椎では30°以上、胸椎では40°以上の場合、成長終了後も進行します。60°を越えると肺活量が低下し、90°だと2分の1、さらに悪化すると肺障害を起こし、死亡の原因となることがあります。曲がりが強くなると上半身と下半身の重心軸がずれ、身体のバランスが崩れることによって歩行障害、腰痛、背部痛等をきたすことがあります。
女性では出産後、授乳期に身体のカルシウムバランスが乱れ、変形が進行します。将来骨粗鬆症が生じた場合、変形がすすみ、日常生活に大きな支障をきたす可能性があります。
<側彎症の治療>
成長終了前で40°未満であれば、装具療法で進行を予防出来ます。ただしこの場合、長時間、長期間の装着が必要です。体操など、他の治療法の効果は科学的に証明されていません。 40°を越えてしまった場合には、美容面と進行予防の目的で手術を行います。
![]() |
![]() |
成人脊柱変形
側弯症を治療しなかった場合、長年にわたり腰に負担がかかり続けると骨粗鬆症が進んできた場合などに生じます。腰が曲がり身体のバランスをとることが難しくなるので、長い時間立っていたり、歩くことが難しくなってきます。姿勢を保つために腰や背中の筋肉に負担がかかり、腰痛や背中の痛みが生じます。 曲がった「せぼね」の中で神経が圧迫されると臀部から足にかけての痛みやしびれが発生します。 腰の曲がりが進むと内蔵に圧迫が加わり、逆流性食道炎などの消化器症状があらわれます。
<成人脊柱変形の治療>
装具療法(コルセット)や体幹の柔軟性や筋力を鍛えるリハビリテーションを行います。痛みやしびれに対しては内服薬、座薬、湿布などを用います。症状が強い場合は手術を行います。
年齢が若い、骨密度が高い、症状が比較的軽い、「せぼね」の変形の程度が軽いほど手術の負担は軽く、逆に高齢で骨粗鬆症が進行し、また症状や「せぼね」の変形が強い場合は手術の難度が増加します。手術した後には1週間程度のベッド上安静と、その後ギプスや装具の装着が必要になります。日常生活に復帰するには約6週間の入院が必要です。退院後も腰への負担は禁物です。特に草取りなど長時間前屈みになる作業はできるだけ避ける必要があります。
CBT(Cortical bone trajectory)法
Cortical bone trajectory(皮質骨軌道)法は、2009年にHynesらによって報告された新しい脊椎固定スクリューの刺入法です。従来使用されていたスクリュー刺入法とは異なり、椎骨のより硬い部分(皮質骨)にスクリューが入るのが特徴です。
生体力学的研究では従来から行われてきた椎弓根スクリュー刺入法と同等以上の強度が得られるとされています。この方法は、スクリューの刺入点が従来よりもかなり内側にくるため、スクリュー刺入に際して脊椎から剥離する筋肉の範囲をより少なくする事ができます。
そのため、従来の方法に較べて以下の様な利点があります。
1.出血が少なく手術時間も短縮されます。
2.創が小さく、筋肉のダメージも少ないため、術後の疼痛が少なく、回復も早まります。
3.固定性が強固のため、変形の矯正が従来法より良好に維持されます。
4.骨粗しょう症を合併している患者様に対しても比較的安全に適応可能です。
<Cortical bone trajectory(皮質骨軌道)法が適応となる病気>
●腰椎すべり症
●腰部椎間板ヘルニア
●腰部脊柱管狭窄症
●腰椎変性側弯症
経皮的椎弓根スクリュー刺入法
この方法は新世代の椎弓根スクリュー刺入法です。
従来、椎弓根スクリューを刺入するには背中の筋肉を背骨から広く剥離する必要がありました。
しかしこの方法では、椎弓根スクリューが小さな創から経皮的に挿入され、椎弓根スクリューを連結するロッドもやはり小さな開創部から経皮的に挿入・設置されるため、より低侵襲的に脊椎の固定が実施できるようになりました。
本法の利点は以下の通りです。
1.出血が少なく手術時間も短縮されます。
2.創が小さく、筋肉のダメージも少ないため、術後の疼痛が少なく、回復も早まります。
3.前述のCortical bone trajectory(皮質骨軌道)法の適応が難しい仙骨の固定や、 腰椎分離すべり症にも適応する事が可能です。
<経皮的椎弓根スクリュー刺入法が適応となる病気>
●腰椎分離すべり症
●外側型腰椎椎間板ヘルニア
●腰椎椎間孔狭窄症









